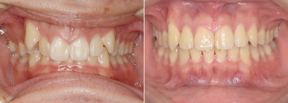
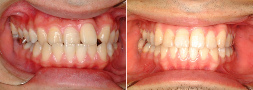
症例
矯正の治療期間はどのくらい?:治療期間を短くできる5つのポイント
矯正の治療期間は、はっきり言って人それぞれです。似たような症例でも、様々な理由により治療期間の長短があります。
ここでは、私の30年の経験から、治療期間の目安を紹介するとともに、なぜ、治療期間を短くできるかについて、当院で実践している5つのポイントについて説明します。長い治療期間が気になって、1歩踏み出せずに悩んでいる方は、ぜひ参考にしていただきたいと思います。
1.タイプ別の治療期間の目安
矯正の治療法には、いろいろな種類があります。ここで紹介するのはブラケット矯正という全ての永久歯にブラケットという装置を着け、ワイヤーを入れて歯を動かす治療法です。永久歯の揃った12歳頃から大人の方までが対象の矯正の治療です。ここでは、当院での実際の治療期間の目安を紹介します。
1.上下のあごの前後的ずれはないが、歯がガタガタな場合(叢生)

あごのずれはありませんから、歯のガタガタの程度によって、治療期間が前後しますが、平均すると治療期間は1年1ヶ月です。最も長い方でも1年8ヶ月です。
2.下のあごが後退していて、上の前歯が直立している場合

見た目では大きな問題がないため、患者様自身が矯正治療の必要性を認識していない方が多いようです。しかし、頭痛、肩こりなどの悩みから、矯正相談に来院される方がいらっしゃいます。治療期間は比較的短く、平均1年1ヶ月です。最も長い方は1年7ヶ月です。
3.反対咬合の場合

ここでは、外科手術を併用しない矯正のみで治療した場合について紹介します。
平均で1年4ヶ月です。最も長い方で2年1ヶ月です。
2.治療期間を短くできる5つのポイント
1.あごの機能検査をした上で治療計画をたてる
見た目だけではなく、噛み合わせた時のあごの位置やあごの動きを調べた上で、治療計画をたてているので、治療目標が明らかで、治療が効率よく進みます。
2.治療間隔が短い場合もある
一般的には、ブラケット矯正中の患者様は約3週間間隔で治療に通院します。しかし、治療の各段階では様々なワイヤーやゴムを使うため、ワイヤーやゴムの種類によっては、2週間という短い間隔で、来院してもらった方が時間の無駄なく効率的に治療が進むことがあります。そこで当院では、必要に応じて2週間、3週間、4週間と来院していただく間隔を変え、無駄な時間をかけないように配慮しています。
3.毎回の治療時間を充分とっている
来院された患者様には、10分〜20分といった短い時間ではなく1時間という充分な予約時間で余裕をもって治療させていただいています。その日に必要な治療を全て行うためには必要な時間と考えています。1回の時間は長くなりますが、全体の治療期間は短縮することができます。
4.治療の途中でも模型で噛み合わせをチェックする
噛み合わせは、お口の外側から見ただけでは良くわかりません。そこで、当院ではしばしば歯列の模型を作り、歯の裏側からも噛み合わせのチェックをすることによって治療が効果的に進みます。正直なところ、コストはかかりますが、治療期間は格段に短くできます。
5.衛生士によるプロフェッショナルクリーニングを行う
3ヶ月に1度は、衛生士によるプロフェッショナルクリーニングを行っています。また、磨き残しが多い患者様にはブラッシング指導とともにプロフェッショナルクリーニングを毎月行うこともあります。
それにより、矯正治療中に虫歯ができてしまうというトラブルがなくなり、治療期間の短縮にもつながります。
3.まとめ
矯正治療で歯が動くのは1ヶ月に最大1mm程です。従って、治療期間は短くても6ヶ月はかかってしまいます。しかし、ここで紹介した治療期間が短くなる5つのポイントで、かなり短縮できます。実際のところ最近では、1年以内に治療が終わるケースが多くなってきています。長い人生を考えれば、1年はあっという間ですので、治療期間を気にして1歩踏み出せずに悩んでいる方は、参考にしてください。